Home
Home

 

Weitere Teile dieser Story

» Start: Unfall und Operation in Chur

» Reha in der Klinik Valens

» Back Home

» Raus mit den Schrauben und zurück auf die Skis

» Diagnose im Januar 02: Dritte Operation nötig

» April 2002: Nieder mit der Eminenz

» November 2002: Die Gelenkputzete

» Sommer 2005: Eine Korrektur mehr

» Mai 2007: Das Metall kommt raus

» 2020: Die Prothese

 

 

Echo und Feedback

Falls jemand seine eigene Story mit Beinbruch und Genesung (nach Wunsch auch anonym) veröffentlichen will, nur zu - es sollen möglichst viele Leute von solchen Berichten profitieren können. In diesem Forum sind die Reaktionen zu lesen.

 

Teil 3: Back Home - Juni 2001 in Bern

Nach den sechs Wochen in Chur und Valens war definitiv klar: Es gibt no better place to be than die Berner Altstadt (OK, San Francisco vielleicht noch). Die Betreuung war zwar wunderbar, aber daheim bleibt eben doch daheim.

Ende Mai 2001 war ich endlich zurück in Bern - ich hatte aus Valens erst noch den Sommer mitgebracht. Und siehe da: Auch mit Stöcken kann man auf den Fenstervorsprung sitzen zum lesen oder ins Marzili (die Taxifahrt dahin kostet allerdings one way 12.-) oder an die Aare zum Grillieren fahren, die Busfahrer öffnen immer brav die vorderste Türe, plötzlich helfen einem alte Frauen, die Bustüre offenzuhalten statt umgekehrt - alles geht, einfach langsam. Auch dank Petrus: Fühlte sich fast an wie Sommerferien.

Wichtig war vor allem, gleich mit intensiver Physio loszulegen (3x wöchentlich trabte ich fortan bei Harald Krüger im Monbijou an, der tolle Arbeit leistete) - und das alles neben dem Job vorbeizubringen, der auch bald wieder losging.

Ach ja: Danke an Sebi für die Überraschungen, Claudia und Manuela fürs Helfen und Einkaufen sowie an Bärni fürs Schleppen meines neuen Zauber-Rolltisches in heissestem 70er-Design!

Endlich war Anfang Juli auch die Aare über 18 Grad - nun kam auch das in Valens eigens für Aareschwimmer entwickelte Krückofloat-System © zum Einsatz.




>>>>> 6. Juli: Nach wochenlangen scheinbar vergeblichen Versuchen, in der Physio das Knie in die Streckung zu bringen, gabs im Juli endlich mal gute Nachrichten: Aareschwimmen klappt selbst bekrückt - und die Nachkontrolle bei Prof. Leutenegger am 5. Juli ergab Überraschendes; die Heilung der Frakturstelle verläuft trotz Knacken und Schmerzen schneller als erwartet, innert zwei Wochen darf das Gelenk wieder voll belastet werden - und mit dem Normalgebrauch des Knies sollte auch die Streckung besser werden. Hoffte man damals... immerhin hatte das Hüpfen auf einem Bein ein Ende, die Nachbarn in der Wohnung unter mir dankten es.

Nun kanns also losgehen mit dem Wiederaufbau der Muskulatur... und dem weiteren Kampf gegen ein Streckdefizit von nach wie vor rund 15 Grad. Doch selbst dem an sich geplanten Treffen mit Sebi und Janine am Embarcadero, von hier minus neun Stunden, sollte im August auch nichts mehr im Wege stehen - der Flug ist gebucht. Luftsprungverdächtig! Das ruft nach verrückten Aktionen...

Die gute Nachricht: Im Röntgenbild vom 5. Juli sind kritische Bereiche des Kniegelenks wieder fast intakt, so z.B. die im unteren Bild (vom 23. Mai) sichtbare Frakturstelle in der Gelenkfläche (2) sowie Teile der Eminenz (1). Die Kreuzbänder scheinen jedenfalls wieder zu halten.

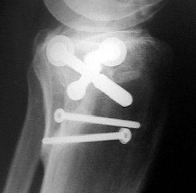
Dazu als Vergleich das Röntgenbild vom 23. Mai 2001; Beginnende Einheilung der Emimnenz (1) sowie deutliche Frakturstelle in der Gelenkfläche (2).

Röntgenbild (Seitenansicht) vom 7. Juli 2001. Das am linken Rand des Schienbeinkopfs sichtbare, vorstehende Teil sollte im Lauf der Zeit wieder besser einwachsen.

Zum Anfang dieser Seite


>>>>> 17. Juli: Die gute Nachricht für alle, die Haare im Gesicht nicht mögen (und dies war eine weitere Erkenntnis nach dem Unfall - das sind ziemlich viele): Weg sind sie, und weil die Sonne am Himmel nicht scheint, hab ich sie dafür jetzt auf dem Kopf - zumindest sowas wie Abendrot.

Yepp, das sind die kläglichen Überreste dessen, was sich rund um meine Backen so angesammelt hatte die letzten Monate. Versprochen: Es bleibt bei diesem einen Versuch (so ein Bart ist ja aber auch was Unpraktisches, gopf).

Frisch aus der Fabrik: Als treues Gewerkschafts- und Parteimitglied natürlich mit der dazugehörigen Haarpracht.


Mitte Juli ohne Krücken - unerwartet früh, und doch gings mit der Streckung irgendwie nicht vorwärts. Nach San Francisco und London reichte es diesen Sommer und Herbst trotz allem - und trotz weiterhin fröhlichem Hinken. Danach folgte aber eine Phase der Stagnation ohne nennenswerte Fortschritte. Was blieb, waren Schmerzen beim Gehen - jeder Schritt ein Stich, kein höllischer zwar, aber doch ein deutliches Zeichen, dass da was nicht stimmt.

Ab Anfang Oktober tat dann das Gelenk immerhin etwas weniger blöd, selbst beim "An-die-Grenze-Gehen" waren weniger Schmerzen spürbar - die Regel lautete immer noch: Je gestreckter das Bein abgestellt wird, desto mehr Schmerzen setzte es ab.

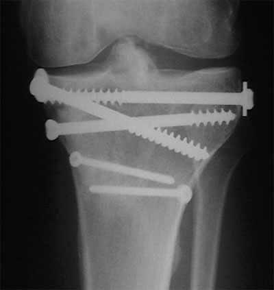
Die Röntgenkontrolle vom 24. Oktober in Chur brachte schliesslich Erleichterung: Der Bruch ist rund ein halbes Jahr nach der Verletzung verheilt, am 9. November können die Schrauben raus - man hoffte damals, dass mit der Metallentfernung auch die Streckung besser würde. Mitte November stand also einmal mehr eine Woche im Kantonsspital Chur an; nach der Operation (mit Schraubenentfernung und Arthroskopie) planten Prof. Leutenegger und sein Team noch eine Intensivwoche an Training.

Oben: Röntgenbild vom 24. Oktober; alles klar zum Schrauben entfernen.

Oben: Röntgenbild (Seitenansicht) vom 24. Oktober 2001. Das am linken Rand des Schienbeinkopfs sichtbare, vorstehende Teil ist wieder vollständig eingewachsen. Dazu als Vergleich hier...

... das Röntgenbild vom 7. Juli 2001: Zwischen dem abstehenden, mit der untersten Schraube fixierten Teil und dem Schienbein klafft noch eine deutliche Lücke.


Weg mit den Schrauben: Kommt die Streckung?

Autsch Home

Reaktionen Betroffener / Forum

Zum Seitenanfang


webpublishing | kurse+texte | fotos+webcam | sounds
blog | yakome'tt | projekte | kontakt

last update 06.05.2007 14:18 © jacomet.ch 1999-2005

 

Weitere Berichte rund um Gebrechen

Morbus Bechterew kann ganz schön mühsam sein - besonders wenn noch ab und zu eine Iritis dazu kommt.

 
 

Wichtiger Hinweis

Ich bin nicht Arzt, sondern Patient. Da jeder Unfall, jede Krankheit anders ist und die Heilung und Behandlung individuell verlaufen, sind diese Seiten keinesfalls als Beratung oder der Weisheit letzter Schluss zu verstehen. Ich warne auch davor, Teile auszudrucken, damit zum Arzt zu rennen und zu sagen "aber hier liefs doch so und so, machen sie das bitte auch" - bitte auf gar keinen Fall! Diese Seiten sollen allenfalls Denkanstösse und grobe Vergleiche liefern, ersetzen aber keinesfalls das fundierte Urteil von Fachpersonen, die eure Geschichte und Allgemeinzustand kennen. Darum beantworte ich auch allfällige Anfragemails nur äusserst zurückhaltend. Erste Ansprechperson ist eurer Arzt bzw. eure Ärztin. Auf diesen Seiten wird allein meine persönliche Meinung dargestellt. Meine Ärzte haben Kenntnis von dieser Seite, der Inhalt ist aber nicht mit ihnen abgesprochen oder von ihnen gutgeheissen.

 



Werbung

   

Werbung

 

Stat