Home
Home

 

Weitere Teile dieser Story

» Start: Unfall und Operation in Chur

» Reha in der Klinik Valens

» Back Home

» Raus mit den Schrauben und zurück auf die Skis

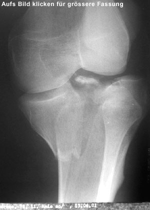
» Diagnose im Januar 02: Dritte Operation nötig

» April 2002: Nieder mit der Eminenz

» November 2002: Die Gelenkputzete

» Sommer 2005: Eine Korrektur mehr

» Mai 2007: Das Metall kommt raus

» 2020: Die Prothese

 

 

Echo und Feedback

Falls jemand seine eigene Story mit Beinbruch und Genesung (nach Wunsch auch anonym) veröffentlichen will, nur zu - es sollen möglichst viele Leute von solchen Berichten profitieren können. In diesem Forum sind die Reaktionen zu lesen.

 
 

Wichtiger Hinweis

Ich bin nicht Arzt, sondern Patient. Da jeder Unfall, jede Krankheit anders ist und die Heilung und Behandlung individuell verlaufen, sind diese Seiten keinesfalls als Beratung oder der Weisheit letzter Schluss zu verstehen. Ich warne auch davor, Teile auszudrucken, damit zum Arzt zu rennen und zu sagen "aber hier liefs doch so und so, machen sie das bitte auch" - bitte auf gar keinen Fall! Diese Seiten sollen allenfalls Denkanstösse und grobe Vergleiche liefern, ersetzen aber keinesfalls das fundierte Urteil von Fachpersonen, die eure Geschichte und Allgemeinzustand kennen. Darum beantworte ich auch allfällige Anfragemails nur äusserst zurückhaltend. Erste Ansprechperson ist eurer Arzt bzw. eure Ärztin. Auf diesen Seiten wird allein meine persönliche Meinung dargestellt. Meine Ärzte haben Kenntnis von dieser Seite, der Inhalt ist aber nicht mit ihnen abgesprochen oder von ihnen gutgeheissen.

 
 

Weitere Berichte rund um Gebrechen

Morbus Bechterew kann ganz schön mühsam sein - besonders wenn noch ab und zu eine Iritis dazu kommt.

 

 

Werbung


Ein Freitag der 13. mit Folgen: Beinbruch, Operation, Rehabilitation und weitere Eingriffe

Erfahrungsbericht für Voyeure und Mitbetroffene

Teil 1 - Spital Chur, 13. April bis 2. Mai 2001

Dass mir ausgerechnet ein Bruch passiert, bei denen selbst abgebrühten Chefärzten Sätze wie "Oh, da hatten Sie aber wirklich Pech, sowas sieht man fast nie" entfahren, ist wohl mit Statistik zu erklären: Nach 26 Jahren auf den Skis - jeden Winter rund 20 Tage, also rund 520 Tagen - war mir trotz einiger schwerer Stürze nie wirklich mehr passiert als ein blauer Fleck oder eine Prellung.

Dabei dürften Verletzungen wie meine eher häufiger vorkommen als früher. Der Grund sind die stärker taillierten Skis: Hätte ich an jenem Tag keine Carver an den Füssen gehabt, wäre ich wohl mit einem normalen Schienbeinbruch davongekommen. Stattdessen war da plötzlich die Rede von Dingen, die ich selbst mit einem Unfallmediziner als direktem Vorfahr nie gehört hatte: Spalt- und Impressionsbruch, Tibiaplateau, Eminenz... nun denn, vielleicht findet diese Seite ja jemand in einer Suchmaschine und kann sich in dieser Story einige nützliche Tips für die Behandlung und Genesung holen.

Wer von seinem Fall erzählen will, kann im Forum mitmachen.

Hier ist's passiert, am Karfreitag 2001 (wirklich, ein Dreizehnter) Val da Stiarls, Val Val, in der Mitte zwischen dem Oberalppass und Coulm Val. Die letzte Abfahrt an diesem Tag sollte es sein, es lag ein Gemisch aus frischem Pulverschnee und alten Sulzschneehaufen - und genau ein solcher wurde mir zum Verhängnis.

Ich war nicht allzu schnell unterwegs, setzte aber gerade einen Schwung an, als der Sulzhaufen dem linken Ski eine andere Richtung zuwies. Der Racecarver machte das, wofür er an sich gebaut wurde - er hakte knallhart ein und fuhr die an sich als Rechtsschwung geplante Kurve nach Links weiter.

Durch die Wucht des plötzlichen Richtungswechsels bei hohem Kantendruck geriet das Knie ein eine, naja, nicht sehr komfortable Lage und beschloss lieber auseinander zu knacksen als dem Druck länger standzuhalten - keine gute Idee, denn darum werde ich wohl ein Leben lang hinken und Jahre früher als andere Arthrosen haben. That's life.

Nun denn, oben erwähnter Mediziner, an jenem Tag wie gewohnt Begleiter im Sedruner Skigebiet, war zum Glück schnell zur Stelle und bettete den Unterschenkel des unterdessen zum Patienten mutierten Skifahrers (der dazu auch noch spitze Schreie ausstiess, wenn jemand dem Knie zu nahe kam) mit dem Pistenpatrouilleur Gabi zusammen auf eine Vakuummatratze. Die erste Diagnose lautete Bänderriss - ha, das wär ja fast wie ein Hauptpreis gewesen!

Was dann kam, darf kaum als vergüngliche Schlittenfahrt bezeichnet werden: Gabi tat natürlich sein Bestes, aber das Inferno auf dem Rettungsschlitten quer durch das ganze Skigebiet war nicht eben angenehm.

Tip: Das Handy funktioniert auch auf dem Kanadier, ein Gespräch mit verständnisvollen Mitmenschen kann durchaus ablenkend sein. Die leicht belustigten Skiliftangestellten, die den jungen Mann von Kindesbeinen an in Sedrun Skifahren sahen und nun im Rettungsschlitten auslachten, lockerten die allgemeine Stimmung zusätzlich auf... zum Glück war ich durch die Tramal-Schmerztropfen schon leicht belämmert, sonst hätten die garantiert je 20 Skistockhiebe abbekommen.


Weiter im privaten Auto ("Papa kann zahlen" hiess es vor ein paar Jahren noch, jetzt lautete das Motto "Papa kann fahren") Richtung Disentis: Ein erstes Röntgenbild, nur unter ziemlichen Höllenqualen fertiggebracht, ergab den Befund "gebrochen"...

... also gings flugs weiter ins Kantonsspital Chur, wo schon die Nacht einbrach - Notfallaufnahme, Röntgen, im Zimmer als erstes natürlich den Internetanschluss installieren und... die ersten ruhigen Minuten auskosten: Was soll das? Ein böser Traum?Sich selbst bewegen ist unmöglich, sonst Alltägliches wird zur generalstabsmässig geplanten Aktion.

Das war wohl der grösste Schock: Noch nie im Spital, und dann das. Jemand, der sonst am liebsten so unabhängig wie möglich ist, möglichst viel selbst macht und zwar dann, wann er will, ist ans Bett gefesselt - das ist zunächst mal Schrott und bedarf der Angewöhnung. Immerhin: 16 Tage lang schöne Aussichten aus dem Neubau...

...des Kantonsspitals Chur, dazu 40 Radio- und 50 Fernsehprogramme auf einem eigenen Empfänger, dazu nette Menschen - das half doch schon mal gewaltig



Aber eben, da gabs ja noch was zu operieren - mein Knie war ein ziemliches Mus aus Bänderüberresten, abgebrochenen und tiefergelegten Knochen, dazu noch ein riesiger Bluterguss, daher wartete man bis zum 16. April mit dem Eingriff.

Auf dem Computertomogramm (3D-Rekonstruktion des Schienbeinkopfes bzw. Tibiaplateaus) sieht man schön die Bruchstelle des grossen Knochenfragmentes. Dummerweise geht der Bruch mitten durch die Kniegelenkfläche. Dazu kam noch ein sogenannter Impressionsbruch, hier nur für Profis erkennbar: Ein Teil der Gelenkfläche wurde durch die Gewalt des Sturzes in den Knochen hineingepresst.

Leider kommt das wegen der Beschaffenheit des Knochens nicht von selbst wieder hoch und musste angehoben sowie durch eine sogenannte Spongiosaplastik festgemacht werden (Knochenmaterial wurde aus dem Beckenkamm entnommen und im Knie unter das eingedrückte Stück wieder eingesetzt).

Als Vergleich: Wenn man den Finger in ein Stück Styropor drückt, bleibt auch ein Loch zurück. Dazu waren auch die Kreuzbandansätze angerissen.

Zum Anfang dieser Seite


Am Ostermontag kam ich also unters Messer; mit Prof. Adrian Leutenegger und seinem Team waren zum Glück ausgewiesene Fachleute am Werk (siehe Dankesgalerie weiter unten).

Allerdings wurde mir bereits vor der Op beschieden: Erfolgsaussichten gibts bei so einem seltenen und ekligen Bruch keine - "wir werden aber versuchen, den ganzen Jacomet wiederherzustellen." Na schön. Vier Monate an Krücken, und das mit einer Wohnung im 4. Stock ohne Lift. Danke! ...dachte ich beim Einschlafen im Operationssaal leicht verzweifelt - und wachte vier Stunden später etwa so wieder auf:

So geht das heutzutage: Kein Gips mehr, dafür vom Anfang an Bewegungsschiene (unter Schmerzen, die ich selbst Monate später noch als Gipfel der Tortur empfand, und das trotz einer geballten Ladung Morphium & Co.).

Belastet werden darf die ganze Konstruktion allerdings nicht, zumindest sechs Wochen lang - Titan und Edelstahl zierten für die nächsten Monate das Schienbein; ans Tageslicht kamen die erstaunlich grossen Schrauben erst im November wieder. Die folgenden Bilder wurden während der Operation gemacht:

Übrigens ist man aber natürlich nicht ganz alleine mit solchen Verletzungen (siehe hier oder hier im Kap. 1. Knochenbrüche) und es kann durchaus auch noch schlimmer kommen... die Skirennfahrerin Catherine Borghi erwischte es im März 2002.

» Bitte noch detaillierter!


Langsam aber sicher ging der angenehme Teil der ganzen Sache los - wann kann man schon ungehemmt stundenlang fernsehen und im Web surfen? Dazu gabs Tulpen aus Malans und Rosen aus Amsterdam: Fleurop ist die Arbeit nicht ausgegangen. Die Unterstützung vieler netter Menschen war wohl das A und O bei der Heilung.

Die bekannte Bündner Tarnhautmalerei, ein von den Eingeborenen bis heute oft gepflegter Osterbrauch:

Zum Anfang dieser Seite


BIG Thanks to (in order of appearance):

  • Den drei Snowboardern, die 2 Minuten vor dem Sturz eine Lawine am Gegenhang auslösten und mir einen Schreck einjagten bzw. scheinbar weiche Knie machten.
  • Hans für seine anfängliche Fehldiagnose, die mich um einen Heliflug brachte. Vor allem aber fürs fachgerechte Lagern und Fixieren sowie die Fahrt nach Chur.
  • Lucas und Daniel, die mich überzeugten, dass fest fluchen der beste Schmerzkiller sei.
  • Gabi, den besten und rasantesten Rettungsschlittenfahrer der Bergbahnen Sedrun (und Conny, die mich mit ihm zusammen in Chur besuchte)
  • Zwei Barbaras (die und die) und einer Claudia, die meine Rettungsschlittenfahrt mit ein paar tröstenden Worten vereinfachten.
  • Marcus, den Röntger in Disentis, der mein Knie schonte
  • Dr. Notter, dem ersten doktorierten Mutmacher in Chur - und allen anderen Weissbekittelten, die mich mal zu Gesicht bekommen haben und an die ich mich wegen dem Morphium nicht mehr erinnern kann.
  • Melanie vom Notfall und allen anderen vom Notfall und Röntgen, deren Namen ich vergessen hab
  • Daniel, dem Unterassistenten aus dem Laufental, der nicht nur Eintrittsformulare ausfüllen, sondern vor allem am besten Blasenkatheter legen kann, wie sich später herausstellte.
  • Allen Schwestern vom D1, eine cooler und hilfsbereiter als die andere, vor allem natürlich der Ossi-Frau, die nicht italienisch kann - sie haben auch während meinen Tiefs bestens zu mir geschaut...
  • Daniela vom Röntgen/CT, welche die schönste Innenansicht meines Knies hergestellt hat und es schaffte, ohne mit der Wimper zu zucken 15x hintereinander "und jetzt gaaaanz ruhig, niddd beweege" zu sagen
  • Maya für Schokolade und Pflanzen im Überfluss
  • Ursina und Claudia für den tollsten Rodelser Naturblumenstrauss und andere erbrachte Services (und Cécile fürs Aucheinmalbesuchenkommen)
  • Sebi und Janine fürs Besuchen, die Wohnungshilfen, die Anrufe, und die Erkenntnis, dass das "AC" an meiner Zimmertür ganz klar "allgemein crank" heisst
  • Dem AI-Team für den ersten Blumenstrauss
  • Nochmals Prof. Leutenegger und seinem Operationsteam (auch denen von der Narkose: Hatte schöne Träume!) für die gelungene Operation am Ostermontag
  • Decurtins, Kreis, Canova & Co: Allen Oberärzten, Assistenten und Unterassistenten, die einmal bei mir vorbeigeschaut und am Knie herumgedrückt haben
  • Barbara Kunz & Co. von der Anästhesie, die ihren Badges alle Ehre machten (ich komm auch gerne sonst einmal für ein Fläschli Morphium vorbei)
  • Silla Plattner für die echt angenehme Physio, die schnelle Fortschritte zur Folge hatte - und ihre Geduld, wenn die Fortschritte mal nicht so eintreten wollten
  • Role und Barbara für die Übernahme diverser Teile meiner Jobs
  • Ranto für den SMS-Rekord und den prächtigen Blumenstrauss
  • Fritz, den besten Zimmernachbarn, der leider nur zwei Tage blieb
  • Christian, dem zweitbesten Zimmernachbarn, der immerhin eine Woche blieb
  • Den Bundis, die einfach wieder mal phänomenal waren.
  • Dem IMW-Team, dank dem ich sogar Katzenfutter esse.
  • Ueli für den Besuch und die Gehhilfe beim ersten Gang an Krücken - sowie der ganzen STA für den Chardonnay und die Grüsse (special thanks to da!)
  • Barbaras (und Thesis und Ruedis) sprichwörtlichem weltbekanntem Lachen (hier als Soundfile in RealAudio), das mich spielend aus einer hoffnungslos erscheinenden Sonntagsdepression holte
  • Baba für den angebotenen Fahrdienst und den goodvibesgebenden Besuch an besagtem Spitalkollertag
  • Der Spitalküche für feines Essen den ganzen Tag
  • Dem Informatikdienst des Kantonsspitals für den Top-Netzanschluss
  • Frau Blindenbacher und Frau Hartmann vom Sozialdienst fürs Organisieren des Therapieplatzes
  • Den Bären (wie immer), den Lovebugs (deren Konzert im Chessu ich verpasse, grummel) und Sharleen, die ihr Inner Smile (ohne das ich kaum so weit wäre) auf mich übertragen hab
  • DRS3, Radio Grischa, Swiss Pop, SWR3, Stefan Raab und Susanne Wille
  • Allen, die ich vergessen habe.

Und übrigens noch eine Warnung: Offenbar wollten die mich da bis am Schluss zum Spitzenkämpfer ausbilden - meine Nährlösung hiess "Ringer Lactate". Oder ging da etwa das medienwissenschaftliche "i" verloren?


Wie weiter?

Daniel und Lucas haben die neusten Strahlwaffen entdeckt, die Ausserirdische vorgestern im Kantonsspital deponiert hatten. (Man kann die Dinger auch als die Erstklass-GAs unter den Krücken bezeichnen: Speziell ergonomisch geformt - die unzertrennlichen Begleiter bis im August.)

» Bitte detaillierter!

Die Zeit im Kanti Chur verging schlussendlich wie im Fluge, und da kann ich alle anderen beruhigen, die mal in eine ähnliche Situation kommen: Alle meinens durchwegs gut mit einem, auch wenn man noch so wehrlos da liegt - der Chef kommt mit ein paar Flaschen Wein, kaum kann man wieder gehen, wird man in die beste Beiz eingeladen, Leute rufen an, von denen man lange nichts mehr gehört hat.

Und vielleicht am wertvollsten: Man beginnt, bewusster zu leben. Sachen, die vorher alltäglich waren, werden zu unglaublichen Errungenschaften - zum ersten Mal das Bein wieder von der Schiene heben, zum ersten Mal wieder alleine Duschen, zum ersten Mal wieder alleine in die Cafeteria gehen... doch zuerst musste ich natürlich mal überhaupt lernen, nach anderthalb Wochen liegen wieder aufzustehen und an Krücken zu gehen, was für den Körper gar nicht so einfach ist - sturmer Grind, Übelkeit, schmerzende und blau verfärbte Beine sind in den ersten Tagen völlig normal, auch wenn man das Gefühl hat, das gehe ewig und man werde sicher nie mehr gehen können... dazu kamen etwa alle zwei Tage Anfälle von Schwäche und Frust wie bei ner schweren Grippe. Aufgewogen werden solche elenden Momente durch erste Fortschritte in der Physio, durch Besuche, durch die Blumen im Zimmer - schon Peter Gabriel und Kate Bush sagten in den 80ern "Don't Give Up!"

Doch kaum fühlt man sich richtig zu Hause, wollen die einen bereits wieder loswerden: Am 2. Mai gings weiter für drei Wochen in die Reha nach Valens (SG)... hier ist die Fortsetzung der Story!


Rehabilitation und Aufbautraining: Weiter nach Valens

Autsch Home

Reaktionen Betroffener / Forum

Zurück zum Seitenanfang


webpublishing | kurse+texte | fotos+webcam | sounds
blog | yakome'tt | projekte | kontakt | datenschutz & impressum

last update 20.05.2018 14:18 © jacomet.ch 1999-2005


   

Werbung

 

Stat