Home
Home

 

Weitere Teile dieser Story

» Start: Unfall und Operation in Chur

» Reha in der Klinik Valens

» Back Home

» Raus mit den Schrauben und zurück auf die Skis

» Eine dritte Operation ist nötig

» April 2002: Nieder mit der Eminenz

» November 2002: Die Gelenkputzete

» Sommer 2005: Eine Korrektur mehr$

» Mai 2007: Das Metall kommt raus

» 2020: Die Prothese

 

 

Echo und Feedback

Falls jemand seine eigene Story mit Beinbruch und Genesung (nach Wunsch auch anonym) veröffentlichen will, nur zu - es sollen möglichst viele Leute von solchen Berichten profitieren können. In diesem Forum sind die Reaktionen zu lesen.

 
 

Weitere Berichte rund um Gebrechen

Morbus Bechterew kann ganz schön mühsam sein - besonders wenn noch ab und zu eine Iritis dazu kommt.

 

Auf zum dritten Streich

Kontrolle am 24. Januar in Chur - wieder einmal mit der teureren Variante Computertomogramm. Der Befund ist klar: Ohne dritte Operation keine Streckung des Beins. Nach wie vor besteht ein Extensionsdefizit von etwa 15-20 Grad. Prognosen sind schwierig, Prof. Adrian Leutenegger verspricht nichts: "Sie hatten einfach wirklich viel Pech mit dem Unfall."

Jä nu, Ende April (nach der Skisaison und nach den Grossratswahlen) werden es er und Dr. Christoph Sommer mit einem weiteren Eingriff versuchen.

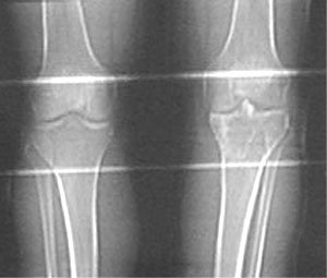
Auf dem Übersichtsbild ist schon mal sichtbar, was zu tun ist:

Nebst den verheilten Bruchstellen ist im verletzten linken Knie (rechts im Bild) auch die verknöcherte Eminenz (höchster Teil des Schienbeins im Kniegelenk) in der Mitte des Gelenks sichtbar. Diese ist deutlich zu hoch eingewachsen und verhindert die Streckung des Beins. Diesen Teil muss man im Rahmen einer Osteotomie versetzen: "ausschneiden", herunterziehen, einschrauben. Dieser Eingriff findet wahrscheinlich durch den Schienbeinknochen hindurch statt, um das Gelenk zu schonen und nicht nochmals vollständig öffnen zu müssen. Dazu wird versucht, Verklebungen in der Gelenkkapsel zu lösen und die unterdessen etwas verkürzten Muskeln und Bänder zu spannen.

Im 3D-Modell des Schienbeinkopfes vom 24.1.2002 sieht man ebenfalls gut die Eminenz, im unteren Bild mit den oberen Pfeilen markiert (für grössere Fassungen auf die Bilder klicken). Im unteren Bild ist links aussen ein altes Schraubenloch erkennbar (Pfeil links unten), im mittleren Modell zudem die verheilte Bruchstelle (drei Pfeile).



Grössere Fassung Bild 1 / Grössere Fassung Bild 2

Dazu als Vergleich das CT von zwei Tagen nach dem Unfall (15.4.2001), wo das ausgebrochene und in der ersten Operation reponierte Knochenstück schön sichtbar ist:

Ende April ist also die "Last-Chance"-Operation samt anschliessender Intensiv-Physio und ein paar Wochen an Krücken. Misslingt die Streckung, heissts die nächste Zeit hinken - und das heisst je nachdem zwischen einer Sekunde und so an die 70 Jahren...


3.3.2002: Leider ergings einigen ähnlich in diesem Winter. Die Skirennfahrerin Catherine Borghi brach sich den Schienbeinkopf im Training zur Abfahrt von der Lenzerheide, weil sie mit einem Ski im Schnee anhängte - ganz ähnlich wie bei mir am 13.4.2001. Gute Besserung...

Weiter im Text - die nächste Operation

Autsch Home

Reaktionen Betroffener / Forum

Zum Seitenanfang


webpublishing | kurse+texte | fotos+webcam | sounds
blog | yakome'tt | projekte | kontakt

last update 06.05.2007 14:18 © jacomet.ch 1999-2005
 

Wichtiger Hinweis

Ich bin nicht Arzt, sondern Patient. Da jeder Unfall, jede Krankheit anders ist und die Heilung und Behandlung individuell verlaufen, sind diese Seiten keinesfalls als Beratung oder der Weisheit letzter Schluss zu verstehen. Ich warne auch davor, Teile auszudrucken, damit zum Arzt zu rennen und zu sagen "aber hier liefs doch so und so, machen sie das bitte auch" - bitte auf gar keinen Fall! Diese Seiten sollen allenfalls Denkanstösse und grobe Vergleiche liefern, ersetzen aber keinesfalls das fundierte Urteil von Fachpersonen, die eure Geschichte und Allgemeinzustand kennen. Darum beantworte ich auch allfällige Anfragemails nur äusserst zurückhaltend. Erste Ansprechperson ist eurer Arzt bzw. eure Ärztin. Auf diesen Seiten wird allein meine persönliche Meinung dargestellt. Meine Ärzte haben Kenntnis von dieser Seite, der Inhalt ist aber nicht mit ihnen abgesprochen oder von ihnen gutgeheissen.

 
   

Werbung

 

Stat