Home
Home

 

Weitere Teile dieser Story

» Start: Unfall und Operation in Chur

» Reha in der Klinik Valens

» Back Home

» Raus mit den Schrauben und zurück auf die Skis


» Diagnose im Januar 02: Dritte Operation nötig

» April 2002: Nieder mit der Eminenz

» November 2002: Die Gelenkputzete

» Sommer 2005: Eine Korrektur mehr

» Mai 2007: Das Metall kommt raus

» 2020: Die Prothese

 

 

Echo und Feedback

Falls jemand seine eigene Story mit Beinbruch und Genesung (nach Wunsch auch anonym) veröffentlichen will, nur zu - es sollen möglichst viele Leute von solchen Berichten profitieren können. In diesem Forum sind die Reaktionen zu lesen.

 
 

Wichtiger Hinweis

Ich bin nicht Arzt, sondern Patient. Da jeder Unfall, jede Krankheit anders ist und die Heilung und Behandlung individuell verlaufen, sind diese Seiten keinesfalls als Beratung oder der Weisheit letzter Schluss zu verstehen. Ich warne auch davor, Teile auszudrucken, damit zum Arzt zu rennen und zu sagen "aber hier liefs doch so und so, machen sie das bitte auch" - bitte auf gar keinen Fall! Diese Seiten sollen allenfalls Denkanstösse und grobe Vergleiche liefern, ersetzen aber keinesfalls das fundierte Urteil von Fachpersonen, die eure Geschichte und Allgemeinzustand kennen. Darum beantworte ich auch allfällige Anfragemails nur äusserst zurückhaltend. Erste Ansprechperson ist eurer Arzt bzw. eure Ärztin. Auf diesen Seiten wird allein meine persönliche Meinung dargestellt. Meine Ärzte haben Kenntnis von dieser Seite, der Inhalt ist aber nicht mit ihnen abgesprochen oder von ihnen gutgeheissen.

 
 

Weitere Berichte rund um Gebrechen

Morbus Bechterew kann ganz schön mühsam sein - besonders wenn noch ab und zu eine Iritis dazu kommt.

 



Werbung

30. April 2002: Endlich!

Um es vorweg zu nehmen - die alles entscheidende Operation ist gelungen, und um für einmal nicht Ogi zu zitieren: Friede, Freude, Eierkuchen, Juheee, Tralalaaa... und ein Riesendank an das Team des Kantonsspitals Chur, vorab Adrian Leutenegger, Christoph Sommer und Antje Missbach, das nach einigem Sägen, Verschieben und Schrauben das Bein wieder gestreckt hat.

Für Profis: Der Operationsbericht ist hier als PDF verfügbar.

Hier die erfreulichen Bilder mit der maximal möglichen Streckung aus eigener Kraft eine Stunde vor und vier Tage nach der Operation:

Jetzt aber alles der Reihe nach.


Dienstag, 30.4.02

Morgens um halb sieben war die Welt noch in Ordnung...

... mittags um zwölf dann aber wieder einmal die altbekannte Kriegsbemalung:


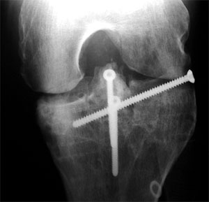
Und so sieht das ganze radiologisch aus (links die Bilder vom Juli 2001 mit den 5 alten Schrauben, rechts die Bilder vom Mai 2002 mit den 3 neuen Schrauben - auf die Bildfragmente klicken, um eine grössere Fassung des Ausschnittes zu sehen).

Hier klicken für grössere Fassung dieses BildteilsHier klicken für grössere Fassung dieses BildteilsHier klicken für grössere Fassung dieses BildteilsHier klicken für grössere Fassung dieses Bildteils

1. Das Problem, Bild links oben: Die zu hoch eingewachsene Eminenz (im Kniegelenk höchster Teil des Schienbeins, blau eingefärbt) verhindert die Streckung, weil sie am Oberschenkel anstösst, wenn das Bein gestreckt werden sollte (1).

2. Die Lösung: Weil an der Eminenz Bänder angewachsen sind, kann man das zu hoch stehende Fragment nicht einfach abhobeln - man muss es nach unten ziehen (2). Dafür muss aber zuerst Platz geschaffen werden...

3. Die Ausführung: Am Schienbein werden diverse Schnitte vollzogen. Im Bild rechts oben (3) ist der Schnitt von vorne sichtbar, im rechten unteren Bild (4) ein Schnitt von oben. Aus dem Schienbein ein Keil entfernt, sodass die zuerst von überschüssigen Knochenfragmenten befreite Eminenz gewissermassen nach vorne und unten ins Schienbein geklappt werden und mit drei Schrauben festgemacht (5) werden kann. In den unteren beiden Bildern ist auch schön sichtbar, dass die Eminenz nun wieder eine normalere Form hat.

Schön sichtbar sind auch die alten Löcher der im November 2001 entfernten Schrauben sowie in den Bildern rechts (gelbe Pfeile) eine alte Unterlagsscheibe, die während dem Sommer 2001 im Knochen festgewachsen war und im November nicht herausgefischt werden konnte (auf die Bildfragmente klicken, um eine grössere Fassung des Ausschnittes zu sehen).

Mit viel Kraftaufwand konnte das Knie in Narkose erstmals wieder vollständig gestreckt werden - Ziel erreicht! Nun geht eine intensive Physio los, damit ich das bald aus eigener Kraft fertigbringe. Die Ärzte sind zufrieden, ich sowieso - great job!

Der Operationsbericht ist hier als PDF abrufbar

Die neue Konstruktion von vorne bei ca. 45° gebeugtem Knie. Rechts von der Eminenz ist einer der frischen Schnitte im Knochen sichtbar.

Auch die Gelenkflächen scheinen völlig OK zu sein, sodass die Operationen schlussendlich zum Erfolg führten - es kann eine gute Prognose gestellt werden.


 



Spital-Stilleben:
Abendrot in Chur.

Leider stand mein älterer Zimmernachbar in der ersten Nacht unter ziemlichem Morphin-Einfluss (kenn ich ja auch noch von irgendwo her) - da war an Schlaf kaum zu denken, da er ständig vor sich hin phantasierte und alle 15 Minuten die Schwester rief oder verbotenerweise aufstand und all seine Schläuche ausriss... alsob man nicht schon genug mit sich selbst zu tun hätte. Jä nu, jedenfalls hats keine freien Betten mehr, Schicksal. Unterdessen hat sich die Lage aber weitgehend beruhigt.

Nun gehts darum, das Bein möglichst immer in der Streckung zu halten - dazu wird auch noch eine spezielle Schiene bestellt. Das tut höllisch weh, aber ich bekomme alle 2 Stunden eine nette kleine Spritze.


Donnerstag, 2.5.02: Weg mit den Schläuchen

Die zweite Nacht verlief also wesentlich ruhiger - diesmal weckte ich wohl meinen Nachbarn einige Male, da ich unterdessen definitiv schmerzmittelspritzensüchtig geworden bin. Lang lebe Pethidin! Vor allem die Glücksgefühle nach der Spritze sind doch ziemlich aufregend. Mehr! Mehr!

Endlich konnten dann am Nachmittag die jüngsten Assistenzärzte des Churer Kantonsspitals erste Praxiserfahrungen sammeln und bei freiwilligen Patienten den Verband wechseln:

...mit dem Ergebnis, dass sich ihr Wohlbefinden ins unermessliche steigerte:






Naja, tatsächlich lief das mit den Redonschläuchen so: Vorsichtig rupfen...

...und zum ersten Mal die neue Narbe in ihrer vollen Pracht bewundern!

Frisch verbunden und schlauchlos lebt sichs doch schon viel viel besser. Ein Quicktime-Movie der Schlauchentfernung ist auf Anfrage erhältlich :-)


Freitag bis Sonntag: Wiedergewonnene Freiheiten

Das beste Erlebnis nach einer Operation ist jedesmal, das erste Mal wieder alleine in den Gang hinaus zu können - Silla Plattner, den eingefleischten LeserInnen dieser Website schon bestens bekannte Physiotherapeutin, brachte es auch diesmal fertig, dass ich es schon im dritten Versuch schaffte, an Krücken wieder auf die Leutsch gehen zu können. Ein gutes Gefühl: Alleine ins Röntgen spazieren, eine Schale trinken im Café, selbst ins Bad können - wunderbar. Dazu gabs wiederum netten Besuch, die ÄrztInnen sind zufrieden - jetzt macht eigentlich nur noch das Schlafen auf dem Rücken mit gestrecktem Bein grosse Mühe, die Nacht auf Samstag war trotz zwei Ladungen Pethidin eher eine Tortur. Alles in allem gehts aber definitiv aufwärts; ich hätte nie gedacht, dass es so schnell gehen würde.

Die Überraschung am Sonntag: Ursina ist plötzlich da - und entführt mich mit dem Einverständnis der Ärzte zum ersten Mal wieder ins normale Churer Beizenleben. Anstrengend - aber äs guats Gfüal.


Montag bis Mittwoch: Training und Heimreise

Und das wars schon fast vom Churer Spitalfeeling - man will ja niemandem wünschen, je in ein Spital zu kommen, aber wenn, dann sollte es schon das Kantonsspital Chur sein... nach zwei Physio-Tagen räumte ich am Mittwoch das Zimmer D2-32, so wie's aussieht , bleiben die Schrauben wahrscheinlich drin, das heisst: Nie mehr Room Service, nie mehr wunderbar über den Kopf schwenkbare Fernseher mit eingebautem Telefon, nie mehr elegante Architektur, nie mehr sympathisches Personal, nie mehr nach der Physio in die Cafeteria sitzen, nie mehr Blick auf den Calanda und in die Surselva, nie mehr schnarchende Zimmernachbarn, nie mehr Spritzen vor dem Schlafengehen... oder doch? Never say never again.

Impressionen vom 7. Mai 2002 - Für grössere Fassung bitte aufs Bild klicken

Für eine grössere Fassung dieser Sammlung hier klicken


Wie weiter?

Strecken und nochmals strecken... im Bett liegen mit durchhängendem Kniegelenk, dazu 3x pro Woche Physio, mehrmals täglich Selbsttraining, an Krücken gehen, Schlafen ist nur nur mit einer Streckschiene erlaubt - ganz ausgestanden ist's noch nicht.


Röntgenkontrolle am 7. Juni

Immerhin scheinen meine Knochen eine Art Schnellheilungsmechanismus zu haben: Nur 5 Wochen nach der Korrekturoperation ist der Knochen schon fast wieder ganz verheilt - im folgenden Bild aus dem Inneren des Knies ist links das Bild vom 3. Mai, rechts jenes vom 7. Juni. Das versetzte Stück der Eminenz ist fast wieder fest drin; die Lücke beim Pfeil hat sich deutlich verkleinert - Krücken ade, Schmerzen leider noch nicht ganz. Das Streckdefizit beträgt immer noch 12 Grad.


Spätsommer 2002

Das alte Spiel: Schmerzen, Physio, mehr Schmerzen, durch die Mehrbelastung auch Schmerzen im rechten (an sich gesunden) Knie, wieder weniger Schmerzen, wieder mehr Schmerzen - jedenfalls alles andere als gut. Immerhin ist die Streckung ok; nicht perfekt, aber besser als vor der letzten Op. Aber kaum will ich es ganz durchstrecken... genau: Schmerzen. Dazu noch ein heftiger Rheumaschub - kein einfaches Leben auf diese Art.


Herbst 2002

Nach wie vor keine Änderung: Die Schmerzen bleiben, vor allem beim Abwärtsgehen. Immer noch könnte die Streckung besser sein - in der Physio tuts jeweils höllisch weh, wenn das Knie wieder einmal voll durchgestreckt wird. Darum der Entscheid: Am 14.11. wird das vierte Mal operiert. Die Schrauben kommen raus und das Gelenk wird untersucht. War also doch noch nicht das letzte Mal Chur... hier geht die Geschichte weiter.


Das hatten Prof. Adrian Leutenegger und Dr. Christoph Sommer - das Chirurgie-Dreamteam - ursprünglich vor - während der Op stellte sich aber heraus, dass es ein wenig einfacher geht.

     
Das Problem: Zu hoch eingewachsene Eminenz - die muss runter, damit das Bein gestreckt werden kann. Da Bänder an diesem Stück hängen, kann man es nicht einfach abhobeln.   Der Plan: Durch das Schienbein (durch einen neuen Hautschnitt von vorn, hier der Einfachheit halber von der Seite eingezeichnet) wird ein Loch gebohrt...

     
..., ein Stück Knochen herausgezogen (siehe z.B. beim Entkernungsgerät in der Küche) und das zu hoch eingewachsene Teil heruntergezogen. Eventuell muss wiederum (wie vor einem Jahr) mit Spongiosa nachgekittet werden.   Zum Schluss noch Schrauben rein - und fertig.


Weiter im Text

Reaktionen Betroffener / Forum

Autsch Home

Zum Seitenanfang


webpublishing | kurse+texte | fotos+webcam | sounds
blog | yakome'tt | projekte | kontakt

last update 06.05.2007 14:18 © jacomet.ch 1999-2005


   

Werbung

 

 

Stat